Einklappbarer Inhalt
Beschreibung
Wenn du jeden Morgen mit steifen Schultern und Nackenschmerzen aufwachst – egal wie viel du dehnst, massierst oder deine Schlafposition änderst – bist du nicht allein. Und du bildest dir das nicht ein. Die meisten gängigen Lösungen behandeln nur die Oberfläche – und die wahre Ursache wird nie behandelt. In diesem Artikel erklären wir die fünf versteckten Gründe, warum deine Nacken- und Schulterschmerzen immer wieder zurückkehren – und was wirklich hilft, sie dauerhaft loszuwerden.
1. Das wahre Problem, was keiner versteht: Nervenkompression
Die meisten Menschen denken bei Nackenschmerzen sofort an Verspannung oder Stress – das höre ich täglich.
Oft steckt aber etwas anderes dahinter: Eine Reizung einer Nervenwurzel in der Halswirbelsäule, z. B. durch eine Bandscheibenprotrusion/-vorfall (häufig in Bereichen wie C5/C6 oder C6/C7).
Stell dir das vor wie einen Gartenschlauch, der abgedrückt wird: Solange die Reizung nicht abnimmt, kann der Schmerz hartnäckig bleiben – besonders wenn er in Schulter/Arm ausstrahlt, kribbelt oder sich „elektrisch“ anfühlt.
Wenn dein Schmerz in den Arm zieht, kribbelt oder du Kraft verlierst, ist eine Nervenbeteiligung wahrscheinlicher.

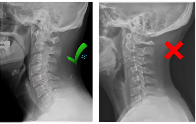
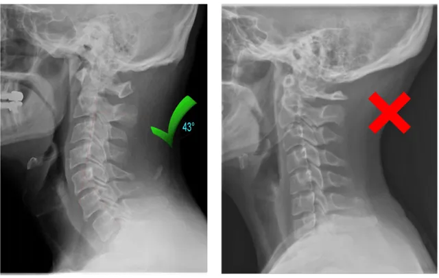
2. Dein Nacken hat seine natürliche Krümmung verloren
Jahrelanges Nach-unten-Schauen auf das Smartphone, langes Arbeiten am Schreibtisch und eine ungünstige Schlafhaltung können die natürliche Krümmung deiner Halswirbelsäule abflachen.
Die Folge sind zusammengedrückte Wirbel, eingeklemmte Nerven und chronische Schmerzen, die weder durch Massagen noch durch herkömmliche Kissen dauerhaft behoben werden können.
Der kritische Punkt: Sobald deine zervikale Krümmung verloren ist, kommt sie nicht von selbst zurück. Du brauchst eine anhaltende Dehnung des Nacken im Schlaf.

3. Warum dein Kissen deine Nackenschmerzen verschlimmert
Dein Kopf rutscht nachts nach vorn. Deine Nackenmuskeln spannen sich an, um gegenzusteuern. Das erzeugt einen Teufelskreis:
Verspannung → Entzündung → Mehr Verspannung.
Selbst wenn du 8 Stunden schläfst, entspannt sich dein Nacken nie wirklich.
Warum deine bisherigen Kissen versagt haben:
Normale Kissen? Rechteckiger Block. Kopf rutscht nach vorn.
„Ergonomische" Kissen? Keine Kopfmulde. Keine Schulteraussparungen.
Daunen? Kopf sinkt ein. Keine Stabilisierung.

4. Du konzentrierst dich auf die falsche Stelle
Nackenschmerzen können sich als Schulterverspannungen, Taubheitsgefühle in den Armen oder sogar als Kribbeln in den Händen äußern – doch all das sind lediglich Symptome.
Das eigentliche Problem beginnt häufig weiter oben, in der Halswirbelsäule.
Denk an elektrische Kabel: Wenn es einen Kurzschluss an der Quelle (deinem Nacken) gibt, flackern die Lichter am Ende (deine Hände). Wenn du die falsche Stelle behandelst, wird der Druck auf den Nerv nie wirklich gelöst.

5. Die meisten Lösungen überdecken den Schmerz nur vorübergehend
Schmerzmittel, Wärmeanwendungen und Massagen können im Moment Linderung verschaffen, beheben jedoch nicht das eigentliche Problem in deiner Wirbelsäule.
Im Gegenteil: Wer sich zu lange darauf verlässt, riskiert, dass sich die Beschwerden verschlimmern, weil die zugrunde liegende Ursache unbeachtet bleibt.

Was kannst du also tatsächlich dagegen tun?
Wenn du deine Nackenschmerzen dauerhaft loswerden willst, musst du das Problem an der Wurzel packen – und nicht nur die Symptome überdecken. Der Schlüssel dazu ist, deiner Halswirbelsäule die Chance zu geben, sich in ihrer natürlichen, entspannten Haltung zu erholen. Und die beste Zeit dafür ist, während du schläfst.
Wie dein Nacken über Nacht heilen kann
Damit dein Nacken sich wirklich erholen kann, müssen nachts drei Dinge passieren:
1. Der Druck muss weg: Stell dir deine Halswirbelsäule wie eine Perlenkette vor. Wenn sie geknickt wird, geraten die Perlen (deine Wirbel) unter Druck und können auf die dazwischen liegenden Nerven drücken. Dein Kissen muss deinen Kopf also so halten, dass die Kette schön gerade bleibt und die Nerven Platz haben.
2. Die natürliche Form muss zurück: Deine Halswirbelsäule hat von Natur aus eine sanfte Kurve. Durch ständiges auf den Bildschirm oder das Handy schauen, wird diese Kurve plattgedrückt. Im Schlaf muss dein Kissen diese gesunde Form wiederherstellen, damit sich alles wieder an die richtige Position gewöhnt.
3. Die Muskeln müssen loslassen:
Wenn deine Wirbelsäule endlich in ihrer natürlichen Position liegt, müssen deine Muskeln nicht mehr dagegen ankämpfen. Sie können sich entspannen, die Verspannungen lösen sich und dein Körper kann endlich mit der „Reparatur“ beginnen.
Das Problem? Die meisten Kissen schaffen das nicht. Sie sind ein Kompromiss und zwingen deinen Nacken oft in eine ungesunde Haltung, was alles nur noch schlimmer macht.
Die Lösung, die deinem Nacken beim Heilen hilft
Genau deshalb hat ein Team aus Physiotherapeuten und Schlafexperten jahrelang geforscht und 15 verschiedene Kissen-Prototypen getestet. Das Ziel war, ein Kissen zu entwickeln, das deinem Nacken nicht nur nicht schadet, sondern ihm aktiv bei der Heilung hilft.
Das Ergebnis dieser Forschung ist CuroSleep – das einzige Kissen, das gezielt dafür entwickelt wurde, alle drei Ursachen von Nackenschmerzen gleichzeitig anzugehen.
Das clevere 3-Zonen-System von CuroSleep
CuroSleep ist das einzige Kissen, das alle drei Ursachen gleichzeitig behebt:
🎯 Zone 1: Die Kopfmulde
Diese Zone sorgt dafür, dass dein Kopf nicht nach vorne kippt. Sie hält deine Halswirbelsäule sanft in ihrer natürlichen, gesunden Kurve. Das Ergebnis: Kein Druck mehr auf die empfindlichen unteren Halswirbel.
🎯 Zone 2: Die Schulter-Aussparung
Wenn du auf der Seite schläfst, kann deine Schulter hier bequem einsinken. So bleibt deine Wirbelsäule von oben bis unten eine gerade Linie, ohne schmerzhafte Verdrehungen.
🎯 Zone 3: Zwei verschiedene Höhen (11 cm / 13 cm)
Diese Zone sorgt für die perfekte Höhe, egal wie du schläfst. Rückenschläfer nutzen die niedrigere 11-cm-Seite, Seitenschläfer die höhere 13-cm-Seite. So ist dein Kopf immer perfekt gestützt.
Das Ergebnis: Deine Muskeln entspannen sich endlich. Der Entzündungszyklus wird durchbrochen. Dein Körper heilt über Nacht – automatisch, während Du schläfst.
✓ 100 Nächte Probeschlafen mit Geld-zurück-Garantie
Echte Menschen, echte Erleichterungen
Während ich diesen Text schreibe, verwenden bereits mehr als 12.758 Menschen in Deutschland, Österreich und der Schweiz das kissen, um endlich wieder ruhig und erholsam zu schlafen - ohne Schnarchen.
